Coordinatore del paziente • Assistenza in italiano

Trasforma il tuo sorriso con cliniche selezionate all’estero

Cliniche verificate
🇮🇹 Assistenza in italiano
💶 Risparmio fino al 70%

Ricevi una valutazione indicativa gratuita e scegli l’opzione più adatta al tuo caso. Su richiesta, possiamo includere anche viaggio + hotel + transfer.

Selezione
Cliniche
esperienza internazionale
Supporto
1:1
referente dedicato
Come funziona
1

Raccontaci il tuo caso

Compila il form in 2 minuti e allega foto in seguito su WhatsApp.

2

Ricevi opzioni chiare

Confronta cliniche, tempi e costi con supporto in italiano.

3

Parti senza pensieri

Su richiesta organizziamo anche viaggio, hotel e transfer.

Richiedi il tuo preventivo
Risposta indicativa in 24–48 ore • Assistenza in italiano
Se hai foto o panoramica, potrai inviarle successivamente via WhatsApp o email.
Devi accettare la privacy per inviare la richiesta.
Preferisci WhatsApp? Scrivici qui

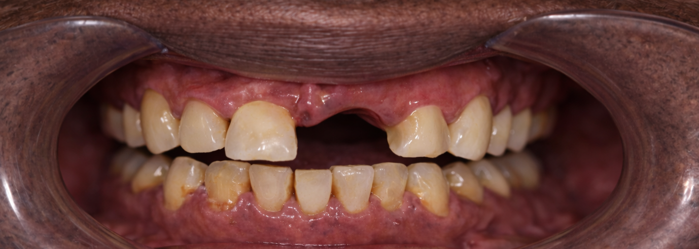
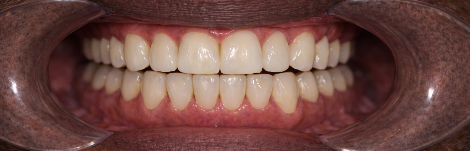
Prima e dopo

Confronta i risultati reali trascinando il cursore sulle immagini.

Smile makeover

Tempo: 5–7 giorni Risparmio: fino al 60%*
Prima del trattamento smile makeover
Dopo il trattamento smile makeover

Impianti dentali

Tempo: 3–5 giorni Piano: su misura
Prima del trattamento impianti dentali
Dopo il trattamento impianti dentali

Faccette dentali

Tempo: 4–6 giorni Look naturale
Prima del trattamento faccette dentali
Dopo il trattamento faccette dentali
*Stime indicative: variano in base al caso clinico.

Come possiamo aiutarti

Servizi a 360° con cliniche che lavorano con pazienti internazionali.

🦷

Impianti dentali

Soluzioni stabili e funzionali per denti mancanti, con piano personalizzato.

Faccette

Correzione estetica per forma/colore, con materiali e finiture naturali.

Sbiancamento

Trattamenti professionali per illuminare il sorriso in modo sicuro.

🧩

All-on-4 / All-on-6

Riabilitazioni complete: una soluzione efficace quando servono molti impianti.

📐

Ortodonzia

Opzioni tradizionali o allineatori: percorso guidato e follow-up.

🧠

Piano su misura

Raccogliamo info e richiediamo una valutazione: niente improvvisazioni.

Perché Curivo

Il valore non è solo il prezzo: è avere una guida chiara per scegliere con sicurezza.

+120
pazienti assistiti
+15
cliniche selezionate
fino al 70%
di risparmio stimato

Selezione e controllo

Non devi contattare decine di cliniche. Ti mettiamo in relazione con strutture selezionate che lavorano con pazienti internazionali.

📊

Trasparenza

Ti aiutiamo a capire cosa include il preventivo, quali sono le tempistiche e quali sono i prossimi passi.

✈️

Viaggio opzionale

Se vuoi possiamo supportarti anche con hotel, transfer e organizzazione del viaggio.

Il tuo percorso

1
Raccolta informazioni e foto
2
Valutazione indicativa
3
Scelta clinica e pianificazione
4
Organizzazione viaggio

“Un referente unico, meno stress. Ti aiutiamo a capire prima di partire.”

Curivo — coordinamento paziente

Testimonianze

Esperienze raccontate da pazienti che hanno scelto di farsi guidare nel percorso.

★★★★★

“Assistenza super chiara. Mi hanno spiegato ogni passaggio prima della partenza e mi sono sentito seguito in modo molto professionale.”

★★★★★

“Organizzazione molto chiara e supporto concreto. La differenza vera è stata avere un unico referente invece di dover capire tutto da solo.”

Confronto prezzi

Una stima per capire rapidamente la differenza di costo tra Italia ed estero.

Trattamento

All-on-4

Fino al -55%
Italia 8.000€ – 15.000€
Estero 3.500€ – 7.000€
Trattamento

Faccette dentali

Fino al -50%
Italia 500€ – 1.200€
Estero 300€ – 600€
I prezzi sono indicativi e possono variare in base al caso clinico, ai materiali e al piano di trattamento.

FAQ

Le domande più comuni prima di iniziare il percorso.

Curivo è una clinica?
No. Curivo coordina la richiesta e ti mette in contatto con cliniche selezionate, aiutandoti a capire opzioni, costi e prossimi passaggi.
Fornite diagnosi mediche online?
No. Il preventivo è indicativo; la valutazione definitiva avviene sempre in clinica dopo visita e analisi del caso.
Posso includere viaggio e hotel?
Sì, su richiesta e in base alle condizioni disponibili. In alcuni casi si possono valutare soluzioni con supporto logistico, hotel e transfer.
Cosa devo inviare per una valutazione?
Contatti + dettagli del caso. Se hai foto, panoramica o altri referti, possono aiutare a ricevere una stima più accurata.
In quanto tempo ricevo risposta?
Di solito entro 24–48 ore, a seconda della completezza delle informazioni inviate.
Come faccio a capire se una clinica è affidabile?
È importante valutare recensioni, chiarezza del preventivo, materiali utilizzati, esperienza con pazienti internazionali e qualità della comunicazione.
💬